JENIS-JENIS RADIODIAGNOSTIK
1. Radiografi Konvensional
Sinar X merupakan bagian dari
spektrum elektomagnetik, dipancarkan akibat pengeboman anoda wolfram
oleh-oleh elektron-elektron bebas dari suatu katoda. Film polos
dihasilkan oleh pergerakan elektron-elektron tersebut melintasi pasien
dan menampilkan film radiografik.
Tulang dapat menyerap sebagian besar radiasi, menyebabkan pajanan pada film paling sedikit,
sehingga film yang dihasilkan tampak berwarna putih. Udara paling
sedikit mnyerap radiasi, menyebabkan pajanan pada film maksimal,
sehingga film tampak berwarna hitam. Diantara kedua keadaan ekstrem
ini, penyerapan jaringan sangat berbeda-beda menghasilkan citra dalam
skala abu-abu (grey scale). Film polos bermanfaat untuk: Dada, abdomen,
sistem tulang: trauma, tulang belakang, sendi, penyakit degeneratif,
metabolik dan metatstatik.
Terminologi yang digunakan dalam Radiografi Sinar X :
a. Hiperradiolusen : udara bebas
b. Radiolusen : Paru normal, lemak
c. Intermediate : Soft tissue/ cairan, jantung,hepar, gnjal, ascites, urine, darah, dsb.
d. Radiopak : Ca-density / Bone density, tulang perkapuran.
e. Hyperradiopak : Metal density, logam
Contoh gambar Foto X- Ray :
2. CT Scan
Pemeriksaan dengan menggunakan CT
Scan dapat mendeteksi kelainan – kelainan seperti perdarahan otak,
tumor otak, kelainan – kelainan tulang, kelainan di rongga dada &
rongga perut dan khususnya mendeteksi kelainan pembuluh darah jantung
(koroner) dan pembuluh darah umumnya (seperti penyempitan pembuluh
darah ginjal, dll) Lama pemeriksaan mulai dari beberapa detik sampai 2
jam.
CT Scan menggunakan sinar X tetapi saat ekspos sinar tidak langsung
mngenai film tetapi ditangkap oleh detektor diteruskan ke komputer
monitor lalu ke printer. Ukuran gambar (piksel) yang didapat pada CT
Scan adalah Radiodensitas ukuran tersebut menggunakan skala Houndsfield
Unit (HU). HU sendiri adalah pengukuran densitas jaringan.
Jaringan | HU | Warna |
Udara
Lemak
LCS
Otak
Darah
Tulang
|
-1000
-100
0
30
+100
+1000
|
Hitam ↓↓↓
Hitam ↓↓
Hitam ↓
Abu-abu (-)
Putih ↑↑
Putih ↑↑↑
|
Terminologi yang digunakan :
a. Isodens : Jaringan Otak Normal
b. Hipodens : Abses otak, infark
c. Hiperdens : perdarahan Otak
3. MRI (Magnetik Resonansi Imaging)
MRI atau Magnetic Resonance Imaging
menggunakan medan magnit dan frekuensi radio, jadi tidak mengionisasi
jaringan, tidak ada efek biologik. Memakai istilah isointens,
hipointens, hiperintens, kekuatan magnit disebut dengan satuan TESLA (1
Tesla= 10.000 Gauss). MRI adalah suatu alat diagnostik teknologi
tinggi yang digunakan untuk membuat visualisasi dari penampang tubuh
manusia.
Pemeriksaan MRI memakai prinsip
magnetik, tidak menggunakan sinar X (tidak ada radiasi). Melalui
pemeriksaan ini dapat mendeteksi kelainan – kelainan saraf &
jaringan lunak seperti pada keluhan: sakit/nyeri kepala, sakit daerah
punggung, pinggang, nyeri/bengkak daerah persendian, kelainan payudara,
kelainan pembuluh darah, kelainan pada abdomen (perut), dll. Lama
pemeriksaan 20 menit – 1.5 jam.
MRI memberikan hasil yang diperlukan oleh dokter untuk menegakkan
diagnosa atas penyakit yang diderita oleh pasien dan juga menentukan
rencana pengobatan yang tepat sesuai dengan indikasi penyakit yang
diderita oleh pasien.
a. Keuntungan menggunakan MRI :
- Tidak menggunakan sinar X,
- Tidak Merusak Kesehatan pada penggunaan
yang tepat,
- Banyak pemeriksaan tanpa memerlukan zat
kontras,
- Detail anatomis yang sangat baik terutama
pada jaringan lunak,
- Dapat memperlihatkan pembuluh darah
tanpa kontras : Magnetic resonansi
angiography (MRA).
b. Kerugian menggunakan MRI
- Biaya operasional mahal,
- Citra yang kurang baik pada lapangan paru,
- MRI lebih sulit ditoleransi dengan waktu
pemeriksaan yang lebih lama
dibandingkan CT scan,
- Kontra indikasi pada pasien yang
mengunakan pacemaker, benda asing logam
pada mata dan penggunaan protesa logam.
4. USG (Ultrasonografi)
Pemeriksaan menggunakan gelombang suara/ultrasound untuk mendeteksi
kelainan – kelainan di organ perut (hati, kandung empedu, limpa, ginjal,
dll), payudara, kandungan, kehamilan, pembuluh darah, dll. Khususnya
pada kehamilan, USG 3D/4D dapat melihat rupa janin seperti sebuah foto
dan dapat melihat gerakan bayi yang dapat direkam dalam CD. Untuk
payudara, USG biasanya dipakai untuk skrinning benjolan/keluhan pada
wanita – wanita usia < 35 tahun atau sebagai pemeriksaan pelengkap
dan atau lanjutan setelah dilakukan mammografi pada wanita usia > 35
tahun.
Contoh Foto USG pada ginjal (tanda panah : batu ginjal)
Terminology yang sering dijumpai pada ultrasonografi antara lain:
· Isoechoic atau normoechoic, misalnya untuk
hepar, lien, atau ginjal yang normal.
· Hypoechoic atau echopoor atau echoluscent,
misalnya abses hepar dan tumor uterus.
· Hyperechoic atau echorich atau echodens,
misalnya batu ginjal dan adanya kalsifikasi di
suatu jaringan.
· Unechoic atau echofree (hitam), misalnya
urine, ascites dan darah.
Pemeriksaan
ultrasonografi biasanya ditujukan untuk kepala bayi, tiroid, mammae,
jantung, organ abdomen, kebidanan dan kandungan serta pada tulang.
5. Media Kontras
Media kontras merupakan zat yang
membantu visualisasi beberapa struktur selama melakukan beberapa teknik
pemeriksaan radiodiagnostik, bekerja berdasarkan prinsip penyerapan
sinar X, sehingga mencegah pengiriman sinar tersebut pada pasien. Zat
kontras yang paling sering digunakan adalah barium sulfat yang dapat memperlihatkan bentuk saluran pencernaan dan sediaan iodine organic
yang banyak digunakan secara intravena pada CT untuk memperjelas
gambaran vaskuler dan berbagai organ. Agen-agen kontras juga dapat
digunakan pada lokasi tertentu, misalnya:
· Arteriografi pada sistem arterial
· Venografi pada sistem vena
· Mielografi pada teka spinalis
· Kolangiografi pada sistem bilier
· Artrografi pada persendian
· Histerosalpingografi pada uterus dan
· Sialografi pada kelenjar saliva.
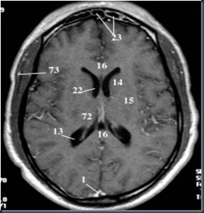
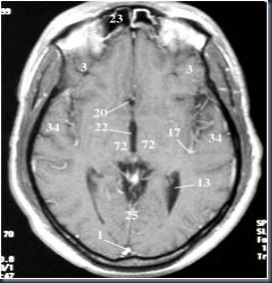
ANATOMI OTAK CT–SCAN / MRI (MAGNETIK RESONANSI IMAGING)
1. Potongan Sagital Otak MRI:
2. Potongan Coronal Otak MRI
3. Potongan Axial Otak MRI
Keterangan gambar:
1. Sinus Sagital sup.
3. Lobus Frontal
4. Lobus Parietal
13. Ventrikel Lateral
16. Corpus Callosum
17. A. Serebri Media
20. Foramen Monro
22. Ventrikel III
23. Sinus Frontal
31. Aqueduct Serebri
43. Arteri Basiler
|
44. Ventrikel IV
45. Cerebellum
48. Pons
50. Sinus Sphenoid
52. Medulla
55. Sinus Sigmoid
63. Lidah
67. Fornix
72. Thalamus
73. A. Meningeal
|
HASIL FOTO CT SCAN DAN MRI
Gambaran hasil foto ct-Scan normal yang memperlihatkan perbedaan densitas (udara, lemak, soft tissue dan tulang)
Hasil foto Kepala normal MRI dengan menggunakan Proton Density (PD), T1-weighted, T2 dan MRA
Hasil foto ct- scan dan MRI tanpa kontras (-) dan dengan menggunakan kontrast (+) pada tumor kepala
Hasil foto MRA pada kelaianan pembuluh darah “arteriouvenous malformation” dan MRA Aneurisma
Perbedaan hasil foto Ct scan dan MRI pada pasien yang sama
Gambar Kiri: CT-Scan memperlihatkan beberapa Metastase dan gambar Kanan: Gambar MRI memperlihatkan Lesi pada Hipokampus
GAMBARAN UMUM STROKE
1. Defenisi
Menurut Who Monica (Monitoring Trends
and Determinants in Cardiovascular Disease Project stroke adalah
manifestasi kllinik dari gangguan fungsi serebral, baik fokal maupun
menyeluruh (global) yang berlangsung dengan cepat, berlangsung lebih
dari 24 jam, atau berakhir dengan maut, tanpa ditemukan penyebab selain
dari pada gangguan vaskuler.
2. Klasifikasi
Menurut Neurological Institute, stroke dibagi atas etiologi:
a. Stroke Iskemik atau Infark (Non Hemorrahagic Stroke) karena :
- Trombosis
- Emboli
b. Stroke Perdarahan (Hemorrhagic Stroke) yang terdiri dari:
- Perdarahan Intraserebral
- Perdarahan Sub Arachnoid
3. Vaskularisasi Otak
Otak tidak mempunyai cadangan energi,
sehinga kebutuhan energi otak sangat ditentukan oleh suplai energi
lewat aliran darah sistemik. Suplai darah pada otak lewat sepasang
arteri karotis interna dan vertebralis, yang membentuk sistem sirkulus
willisi di dasar otak.
4. Patofisiologi
Pada stroke iskemik berkurangnya aliran darah ke otak menyebabkan
hipoksemia daerah regional otak dan menimbulkan reaksi-reaksi berantai
yang berakhir dengan kematian sel-sel otak dan unsur pendukungnya,
sedangkan pada stroke hemoragik gejala-gejala klinik yang timbul semata-
mata karena kerusakan sel akibat proses hemolisis darah yang keluar
dari pembuluh darah otak yang pecah merembes ke massa otak sekitarnya.
GAMBARAN CT SCAN KEPALA PENDERITA STROKE ISKEMIK / INFARK.
Pada beberapa kasus, bisa ditemukan
area otak tidak menunjukkan abnormalitas pada beberapa jam awal stroke,
kemungkinan region yang terlalu kecil untuk dapat dilihat dengan
dengan menggunakan CT Scan atau karena bagian dari otak (brainstem,
cerebellum) dengan menggunakan CT Scan tidak menunjukkan bayangan yang
jelas. CT Scan menunjukkan nilai positif pada stroke iskemik pada
beberapa pasien dengan serangan stroke sedang sampai dengan berat
setelah 2-7 hari serangan akan tetapi tanda-tanda iskemik sulit
didapatkan pada 3-6 jam kejadian. Tanda-tanda infark pada CT Scan yaitu
terdapat area hypodens focal, pada cortical, sub cortical, Attenuasi
daerah infark berkurang (10-25 HU).
GAMBARAN CT- SCAN HAEMORAGIK STROKE
Gambaran Ct Scan yang tipikal pada
Perdarahan Intra serebral memperlihatkan suatu area bulat, oval atau
tidak teratur tergantung lokasi dan ukurannya, batas tegas dengan
peningkatan attennuasi (35-80 HU). Ukurannya bervariasi dari beberapa
mm sampai lebih 500 mm persegi. Haemoragik memperlihatkan bayangan
hyperdens pada gray / white matter. Pada perdarahan Sub Arachnoid Ct
Scan memperlihatkan gumpalan atau lapisan darah tipis yang hyperdens
juga terlihat pada sulci hemisfer.
CONTOH KASUS:
Nama : Mr XX
Umur : 50 Tahun
Jenis Kelamin : Laki-laki
Alamat : Makassar
Diagnosis Klinis : Hemiparese sinistra susp. NHS
Hasil Foto CT – Scan:
- Tampak Hipodens pada ganglia basalis kanan
- Sulci dan Gyrus dalam batas Normal
- Tidak Tampak midline shift
- Sistem Ventrikel dan subarachnoid dalam
batas normal
- Kalsifikasi fisiologis pada pineal body dan
pleksus choroideus
- Tulang-tulang yang terscan intak
KESAN :
- Infark Serebri Dextra,
RENCANA INTERVENSI FISIOTERAPI
Penekanannya adalah pada contributing factor (impairment) yang
mengakibatkan terjadinya gangguan aktivitas fungsional dalam list of
problem.
Dibuat tujuan intervensi fisioterapi yang meliputi tujuan jangka pendek dan tujuan jangka panjang.
Harus
terukur/measurable sehingga dapat dievaluasi, achievable dan realistis
serta secara fungsional sangat berarti bagi pasien/klien harus
disertai:
Cara pencapaian tujuan
Alokasi waktu pencapaian
Kondisi-kondisi seputar pasien dan lingkungan yang memungkinkan tujuan tersebut dapat dicapai
KESIMPULAN DAN SARAN
1. Radiodiagnostik merupakan pemeriksaan yang sangat menunjang untuk
menegakkan diagnostik suatu penyakit termasuk profesi Fisioterapi dan
bisa digunakan untuk mengetahui suatu kondisi apakah sesuai dengan
modalitas yang digunakan.
2. Pengetahuan ilmu Radiodiagnostik terutama yang berhubungan erat
dengan kondisi-kondisi yang ditangani Fisioterapi sebaiknya semakin
ditingkatkan.
Literatur:
1. Sjahrial Rasad.2008. Radiologi Diagnostik.
Edisi dua
2. Pradip R.Patel .2002Lecture notes
Radiologi . Edisi kedua Penerbit erlangga
3. Madyawati,2009.Kesesuaian Diagnosis
Berdasarkan Skor Klinik Dengan Gambaran
CT-Scan Kepala Penderita Stroke.FK-
UNHAS.
4. Asriyani Sri,dkk.2009. Radiologi. Bahan
Kuliah S1 Fisioterapi FK Unhas. Makassar
5. Setiawan,2008. Pemeriksaan Fisioterapi
pada Kondisi Neuromuscular. Prodi
Fisioterapi FK-UNHAS. Makassar.
6. Sunardi. CT –Scan dan MRI pada Sistim
Neurologis. http://www.scribd.com
7. http://www.radiologyinfo.org
8. http://www.prep4usmle.com
9. http://www.radiology.co.uk
0 komentar: